資料來源與版權所有:udn元氣網
高燒噁心嘔吐 男肝膿瘍上身
中央社 台南10日電 2017-08-10
45歲陳姓男子突然忽冷忽熱、發高燒、噁心及嘔吐,以為只是單純腸胃炎,自購藥物服用未見效,病症加重,就醫後才檢出是可能致命的肝膿瘍。
衛福部台南醫院感染科醫師李致毅今天召開記者會指出,陳男未罹患特別的慢性疾病,卻出現全身不適症狀,高燒等病症愈形嚴重,趕緊掛急診。
醫師檢查,陳男高燒,合併腸胃道不適、上腹脹的臨床表現,白血球及肝指數上升,被檢出巨大的肝膿瘍,血糖值也持續偏高,符合糖尿病的臨床診斷。
醫師緊急執行電腦斷層指引經皮穿肝膿瘍引流,合併抗生素療法、血糖控制,陳男病狀才逐漸控制改善。李致毅表示,幸好陳男立即接受治療,否則很可能在數日內因肝膿瘍感染導致嚴重敗血症,有生命危險。
李致毅說,肝膿瘍可分為細菌感染引起的化膿性肝膿瘍,及阿米巴原蟲引起的阿米巴性肝膿瘍。阿米巴性肝膿瘍隨著環境清潔與公共衛生進步,在台灣十分罕見;因此,臨床肝膿瘍病例大多以化膿性肝膿瘍為主。
因肝臟沒有痛覺神經,當發炎或有囊泡、膿瘍發生時,患者可能僅出現輕微發燒、頭痛、全身倦怠等類似感冒、非特異性症狀。若患者只靠成藥緩解發燒、身體不適,往往會延誤就醫。
一般而言,形成肝膿瘍有兩個先決條件,分別是病人免疫系統功能低下,及患者體內某處有感染來源;也就是說,化膿性肝膿瘍起因於肝臟無法清除細菌,造成細菌在肝臟內滋長、聚積,引起發炎反應。
臨床發現,六成以上肝膿瘍患者有糖尿病,一般認為和此族群患者免疫系統功能較低下有關。
至於細菌如何跑到肝臟,主因包括腸道感染;膽道系統發生問題;外傷、手術的病源菌直接被送入肝臟;血行性細菌感染。但也有患者的感染來源無法確定。
---------------------------------
資料來源與版權所有:好醫師新聞網
類似腸胃炎的肝膿瘍 嚴重會致命
好醫師新聞網記者張本篤/台南報導 2017-08-10
肝臟本身沒有痛覺神經,當發炎甚至有囊泡、膿瘍發生時,患者可能僅出現輕微發燒、頭痛、全身倦怠等類似感冒、非特異性的症狀。目前成藥種類眾多且取得容易,若患者僅僅藉由成藥來緩解發燒、身體不適等症狀,往往會延誤就醫而錯過治療的黃金期,其死亡率相當高,敗血症乃是其主要的死亡原因。
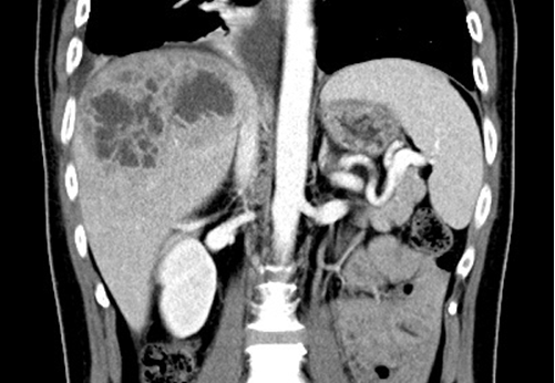
上圖:患者的影像醫學檢查可發現肝臟有嚴重膿瘍
45歲的C先生,住在台南市,過去身體並無特別的慢性疾病。在一個炎熱的7月夏季,C先生突然出現忽冷忽熱,接著體溫高燒至攝氏38度多,並伴隨著噁心、嘔吐、全身不適等症狀。原以為是單純的腸胃炎,C先生便自行至藥房購買藥物服用;然而,症狀持續約1週仍不見好轉。其高燒與身體不適的狀況愈形嚴重。
衛生福利部臺南醫院感染科李致毅醫師指出,一般而言,形成肝膿瘍有兩個先決條件:一是病人本身的免疫系統功能低下,致使肝臟易受病原菌的攻擊;二是患者體內某處有某感染來源,不斷地將細菌送出,再透過各個管道至肝臟實質內增殖。也就是說,化膿性肝膿瘍之所以會發生,起因於肝臟無法清除掉細菌,導致細菌在肝臟內滋長、聚積,進一步引起發炎反應。
患者入院時除高燒外,亦合併有腸胃道不適、上腹脹的臨床表現,且常規抽血檢驗呈現白血球及肝指數上升,故予以安排肝臟超音波及腹部腦斷層掃瞄,赫然發現有巨大的肝膿瘍。此外,在一系列的追蹤之下,患者的血糖值持續偏高,也符合糖尿病的臨床診斷。照會放射科醫師,緊急執行電腦斷層指引經皮穿肝膿瘍引流,並合併適當的抗生素療法、妥善的血糖控制,C先生的臨床感染症狀才逐漸控制且獲得改善。幸好立即接受適當的治療,否則很可能在數日內因肝膿瘍感染導致嚴重敗血症,進而有生命危險。
其實肝膿瘍並非一個罕見的疾病。可分為由細菌感染引起的化膿性肝膿瘍及阿米巴原蟲引起之阿米巴性肝膿瘍。目前臨床所見肝膿瘍的案例大多以化膿性肝膿瘍為主。由於肝臟本身沒有痛覺神經,當發炎甚至有囊泡、膿瘍發生時,患者可能僅出現輕微發燒、頭痛、全身倦怠等類似感冒、非特異性的症狀。目前成藥種類眾多且取得容易,若患者僅僅藉由成藥來緩解發燒、身體不適等症狀,往往會延誤就醫而錯過治療的黃金期。
李致毅醫師表示,臨床發現,幾乎六成以上的肝膿瘍患者本身具有糖尿病,一般認為與此族群的患者免疫系統功能較低下有關。
至於細菌是如何跑到肝臟,常見有幾個原因:因
(1)腸道感染而產生過多的病原菌,超出肝臟的抵抗能力;
(2)膽道系統發生問題,如結石、腫瘤等因素,造成膽汁鬱積而使得細菌過度生長;
(3)經由外傷、手術,病源菌直接被送入肝臟;
(4)血行性細菌感染,細菌隨著血流接種至肝臟,並在肝臟進一歩增長。此外,也有一部分的患者,其感染來源並無法清楚地確定。
李致毅醫師強調,肝膿瘍如果沒有接受適當的治療,其死亡率相當高,敗血症乃是其主要的死亡原因。
它的治療目標有二:第一是肝膿瘍本身的治療;第二是消除感染源。
原則上,當診斷確立後,應先給予適當的抗生素療法,如果病況允許,經皮穿肝膿瘍引流也要同時或儘早進行。臨床經驗告訴我們,有效的引流可以改善且縮短病程,並經由此動作獲得膿液培養之細菌學報告,進而協助臨床醫師選用有效且適當的抗生素來治療患者。民眾若有不明原因發冷發熱,尤其合併有程度不等的腹部不適之症狀時,應及早就醫。早期發現、早期診斷、早期治療,以免衍生其他無可挽回的併發症與後果。
- Aug 11 Fri 2017 10:38
高燒噁心嘔吐 男肝膿瘍上身
close
全站熱搜
留言列表
發表留言
留言列表
人電強身功 